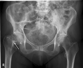
In this rather vivid news story the evidence is showing that hip fracture, while common and dangerous in seniors, has even more dire consequences in women around the age of 65.
http://www.cnn.com/2011/09/26/health/older-women-hip-fracture/
"Fractures appeared to be most dangerous in the youngest segment of study participants: For women 65 to 69, hip fracture quintupled the odds of death within one year. This was also the only age group in which the odds of death remained higher in the fracture group after the one-year mark."
The original study can be read here-
http://archinte.ama-assn.org/cgi/content/full/archinternmed.2011.447
The least invasive methods to reduce the risk of hip fracture are a diet rich in Calcium and Vitamin D combined with weight bearing exercise. Heavy resistance exercise as recommended frequently by Reverse Magazine can do wonders to promote healthy aging and improve strength and mobility.

interesting. i did a similar post a while back. there are a lot of things women need to know about bone health. weight bearing and resistance exercise is very important. so is nutrition.
ReplyDeletehttp://escapetheherdblog.blogspot.com/search?q=fat&updated-max=2011-02-10T12%3A45%3A00-05%3A00&max-results=20
This indeed is very grave news and should be widely disseminated. Many people including me would certainly not associate osteoporosis and fractures with death. I won't need more studies to prove this, this is enough. Anyways, I will not loose anything if I ask my doctor what I can do to prevent osteoporosis now. Another reason would be that I don't want to undergo a hip replacement surgery should it affect my hip bones. I am wary of the many complaints involving the DePuy hip replacement recall.
ReplyDeleteThis is a very shocking news that having a bone fracture may lead to death. Just like after depuy pinnacle hip replacement surgery wherein there are instances that it will lead to complication like pinnacle and metal toxicity.
ReplyDeleteInteresting. i did a similar post a while back. there are a lot of things women need to know about bone health.
ReplyDeletehcg buy online
hcg diet
I think this is not a problem anymore. We can always turn on to hip replacement implants to counter these problems.
ReplyDeleteBut I must warn you that not all of these implants were successful. There is this friend of mine who filed a DePuy Pinnacle lawsuit against the device's manufacturer because of the complications she experienced. However, it is not usually the case, if your lucky then you may enjoy it for a couple of years.